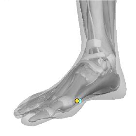
3 rate Localisation : sur le bord médial du pied, en arrière de l’articulation métatarso-phalangienne, à la jonction de la peau rouge et de la peau blanche. J’aime chargement…